M-Wurf

Costa-Rica wurde am 21.3.2012 Mutter von 8 Welpen!
2 Rüden/6 Hündinnen
Namen der Rüden: Maruk, Magic Aragon
Namen der Hündinnen: Miss Feya, Mia Cara, Mayeli, Merci Bianca, Manja
Die Eltern unseres "M-Wurfes" sind Costa-Rica vom Stainzer Schilcherland und Aragon of Trebons Berger Blanc. Auch unser "I-Wurf" stammt aus dieser Verpaarung. Da dies ein hervor-ragender Wurf war, haben wir nicht lange überlegen müssen und uns für eine Wurfwiederholung entschieden.
Costa-Rica vom Stainzer Schilcherland |
CH Aragon of Trebons Berger Blanc |
 |
 |
Wurftag: 25.01.2005
HD: A/A
ED: 0/0
MDR 1: +/+
Stockhöhe: 56 cm
Mutter: Caprice of White Heroes
Vater: Alvo Giro of Quiet Angel
Prüfungen: BGH1, BGH2, BGH 3
Formwert: Vorzüglich 1, CACA, CACIB, BOB, Bundessieger 2006
Zuchttauglichkeitsprüfung 2007 mit "Sehr gut" bestanden
Besitzer: Ingrid Spieler |
Wurftag: 27.03.2005
HD: A/A
ED: 0/0
MDR 1: +/+
Stockhöhe: 63 cm
Mutter: Danka Princess vom Durbuscher Forst
Vater: Nice of you to come by Ultimo
Prüfungen: BGH 1-3, FH 1, FH 2, FH 3, IPO FH 3
Formwert: Vorzüglich 1, CACA, CACIB-Res., BOB,
Österreichischer Champion
Zuchttauglichkeit im März 2008 mit "Sehr gut" abgelegt
Besitzer: Ingrid Spieler |
Costa-Rica und Aragon - beide hervorragende Elterntiere
..
Costa-Rica vom Stainzer Schilcherland
..
CH Aragon of Trebons Berger Blanc
..
08.11.2011: Nun warten wir schon sehr ungeduldig auf die Läufigkeit - und Aragon auf seinen Deckauftrag...
02.01.2012: Costa-Rica ist nun mit einem Monat Verspätung endlich läufig!
20.01.2012: Wie letztes Jahr hat es Costa-Rica wieder sehr spannend gemacht. Am 19. und 20. Tag ihrer Läufigkeit durfte Aragon endlich seinen Pflichten nachkommen. Das lange Warten hat sich endlich für ihn gelohnt.
Nächste Neuigkeiten gibt es nach der Ultraschalluntersuchung....
Es war eine sehr harmonische Verpaarung. Aragon war wie immer ein sehr zärtlicher Liebhaber - sogar für Ohrenpflege war zwischendurch Zeit
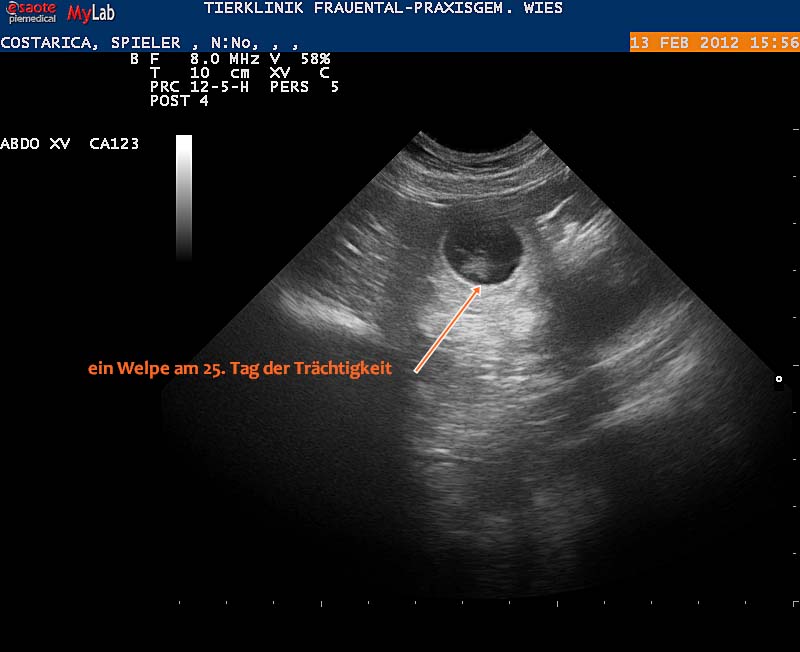
13.02.2012: Ultraschalltermin
Das Date der beiden am 20.1. hat Folgen. Der Tierarzt hat uns die Trächtigkeit von Costa-Rica bestätigt und wir freuen uns schon sehr auf den Nachwuchs.
..
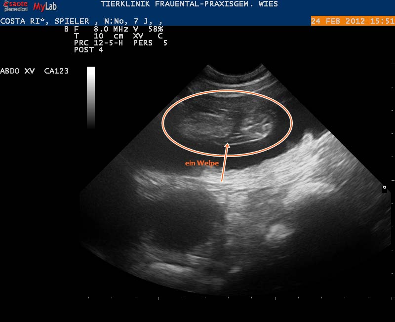
Links: Eine Fruchtblase am 25. Trächtigkeitstag - Rechts: Ein Welpe 10 Tage später
21.03.2012: Geburt und die erste Lebenswoche
Am Tag 62 der Trächtigkeit war es dann endlich soweit. Das erste Mädchen wurde um 16.29 Uhr geboren. Im Halbstundentakt kamen die ersten 6 Welpen auf die Welt. Nach einer weiteren Stunde erblickte der 7. Welpe das Licht der Welt und nach einer abermaligen Stunde durfte auch der 8. Welpe in die Freiheit.
Eines ist klar, dieses Mal haben die Mädchen eindeutig das Match gewonnen. 6 Mädchen und 2 Rüden waren schlussendlich das Ergebnis einer komplikationslosen Geburt. Eine Geburt, die man sich nur wünschen kann, denn alles lief wie am Schnürchen. Eine Hündin ist etwas klein, doch bei allen anderen bewegte sich das Geburtsgewicht zwischen 450g und 500g. Wir freuen uns unsagbar über diesen tollen Nachwuchs von Costa-Rica und Aragon.
Hier die ersten Fotos!
03.04.2012: Entwicklung der Welpen in der 2. Lebenswoche
Mama Costa-Rica bereitet uns mit ihren Welpen große Freude. Alles klappt super, doch leider gab es
nach
drei
Tagen einen
herben
Rückschlag.
Das kleinste Mädchen des Wurfes schaffte es trotz
ständiger
Bemühungen
leider nicht
und das machte uns sehr traurig. Aber man muß nach vorne sehen....
 |
 |
| Nach den Mahlzeiten sind die Kleinen wieder zufrieden und schlafen |
Man könnte den Welpen stundenlang beim Schlafen zusehen |
 |
 |
| Die Hündin mit orangem Band kuschelt sich ganz eng an Mama |
Rüde mit blauem Band: Das schöne Pigment ist bereits zu sehen |
 |
 |
| Der Rüde mit hellblauem Band geht auf Tauchstation und sucht Wärme |
Es ist so schön und beruhigend, wenn alle Welpen zufrieden sind |
11.04.2012: Unsere Welpen in der dritten Lebenswoche
Alles läuft perfekt mit unseren Kleinen. Die Welpen nehmen gleichmäßig zu und Rica macht ihren "Job" sehr vorbildlich. Interessant zu beobachten, dass sich Oma Caprice immer mehr in die Welpenbetreuung einbindet - mit Zustimmung von Mama Costa-Rica natürlich.
Bewegend ist immer die Phase, wo die Welpen beginnen, ihre Augen zu öffnen. Damit werden die Kleinen noch aktiver und beginnen, immer mehr von ihrem Umfeld wahrzunehmen.
 |
 |
| Drei Mädels - viel Fressen und Schlaf, da geht es ihnen sichtlich gut |
Sieht sehr zufrieden aus - Rüde mit dunkelblauem Band |
 |
 |
| Auch der zweite Rüde genießt den Schlaf des Gerechten |
Mädchen mit lila Band - eine ganz entzückende Maus |
 |
 |
| Hündin mit orangem Band - eine unserer hübschen Mädels |
Die Augen sind bereits geöffnet - jetzt geht es schön langsam rund |
 |
 |
| Costa-Rica ist eine sehr fürsorgliche Mama und hat auch viel zu tun |
Auch Oma Caprice kümmert sich mit viel Interesse und Hingabe |
Nach drei Wochen wird ein Wohnungswechsel vollzogen. Die Welpen wandern von unserem Wohnzimmer in ein eigenes Welpenzimmer, wo bereits alles vorbereitet ist. Die Welpen wurden bereits einmal entwurmt.
 |
 |
| Zwischenzeitlich gibt es schon die ersten kleinen Rangeleien |
Abwechslung - der neue Spielkamerad wird sofort inspiziert |
19.04.2012: Die vierte Lebenswoche ist bereits vorbei
Nach dem Wechsel ins Welpenzimmer haben die Kleinen einen wesentlich größeren Aktionsradius, den sie gerne ausnützen. Die Welpen lernen ständig neue akustische und optische Einwirkungen kennen. Neues Spielzeug und die ersten Besuche bieten weitere Abwechslung. Auch das angebotene Zusatzfutter wird bestens angenommen.
 |
 |
| Die Welpenmilch wird anfangs teilweise noch als Fußbad benutzt |
Dieser kleine Schelm heckt bestimmt schon wieder etwas aus |
 |
 |
| Die Welpen sind sehr aktiv und genießen die neue Umgebung sichtlich |
Spielerisch werden schon Rangordnungspositionen festgelegt |
 |
 |
| Jedes neue Spielzeug wird neugierig in Augenschein genommen |
Wieder eine neue Beute - Beuteverhalten in Kleinformat |
25.04.2012: Fünfte Lebenswoche - die Welpen bei den ersten Ausflügen
Jetzt sind die Kleinen nicht mehr zu halten, wenn es darum geht, hinaus in die Natur zu kommen und neue Erkundungen zu starten. Es ist dann sogar schwer, die Welpen nach einiger Zeit wieder zurück ins Haus zu bekommen. Auch die ersten Besuche treffen schon ein - das ist für alle Beteiligten ein Riesenspaß.
 |
 |
| Kaum im Freien, ist die Bande schon wieder neugierig unterwegs |
Bei so schönem Wetter ist jeder Ausflug ein wahrer Genuß |
 |
 |
| Überschüssige Energie wird bei Spielereien gleich abgebaut |
Interessanter Zeitvertreib mit neu mitgebrachten Spielsachen |
 |
 |
| Aragon kümmert sich stundenlang geduldig um seinen Nachwuchs |
Mama Costa-Rica mit einem ihrer beiden hübschen Söhne |
 |
 |
| Interessant: Andere Tiere, wie Katzen und Hühner werden registriert |
Auch Aktivitäten in der Nachbarschaft werden schon beobachtet |
 |
 |
| Bewundernswert, wie Aragon sich mit seinen Welpen beschäftigt |
Dadurch ist er sehr oft erste Anlaufstation beim Spielen |
 |
 |
| Dazwischen steht eine kleine Zwischenmahlzeit auf dem Programm |
Vor Müdigkeit fallen die Welpen dann ins Gras und schlafen |
 |
 |
| Mit Ruhe und Souveränität hat Aragon seine Welpen im Griff |
Auch die ersten Besuche werden freudig willkommen geheißen |
 |
 |
| Kontakt mit Fremden - sehr wichtig für die Welpen |
Dem Nachwuchs gefällt das aber sichtlich...... |
 |
 |
| ........und man genießt die Streicheleinheiten |
Beim Begrüßen will dann immer jeder der erste sein |
02.05.2012: Unsere Welpen sind bereits sechs Wochen alt
Wenn immer das Wetter es zulässt, halten sich die Welpen im Freien auf. Dabei lernen sie alle möglichen Umwelteinflüsse kennen. Auch die künftigen Welpenbesitzer besuchen uns laufend und können sich von der Entwicklung der Welpen "life" überzeugen. Dazwischen brauchen die Welpen natürlich auch ihre notwendigen Ruhephasen.
Die Zeit vergeht so schnell und es dauert nicht mehr lange und unser Nachwuchs wird uns bald in Richtung neue Familien verlassen. Aber wir sind auch diesmal wieder sicher, dass wir tolle Familien für die Kleinen gefunden haben.
 |
 |
| In der Früh sind die Welpen schon sehr aktiv im Freien unterwegs |
Da gibt es so viel zu entdecken - wie hier ein Blümchen zum Beispiel |
 |
 |
| Zwischendurch ist wieder einmal die Spielstunde angesagt |
Gegen Mittag, wenn es zu warm wird, geht es wieder ab ins Haus |
 |
 |
| Au fein - netter Besuch und alle fordern ihre Streicheleinheiten |
Linda wurde anscheinend bereits als neues Rudelmitglied akzeptiert |
 |
 |
| Die Entscheidung fällt oft schwer - man hat die Qual der Wahl |
Und wieder einmal helle Freude: Wer ist den diesmal gekommen? |
 |
 |
| Und langsam kristallisieren sich die Favoriten schon heraus |
Magic Aragon - dem schaut ständig der Schalk aus den Augen |
 |
 |
| Die Wasserschlüssel wird hin und wieder auch für ein Fußbad benutzt |
Souverän betrachtet Maruk das bunte Treiben der Besucher |
 |
 |
| Leider haben wir unsere Schätze nur mehr etwa zwei Wochen bei uns |
In Kürze findet die vom Verein vorgeschriebene Wurfkontrolle statt |
 |
 |
| Die Welpen werden geimpft, gechippt und noch einmal entwurmt..... |
.....und alle Familien freuen sich schon sehnsüchtig auf den Zuwachs |
09.05.2012: Infos von unseren M-Welpen aus der siebenten Lebenswoche
Das ist nun schon die vorletzte Woche, die wir mit den M-Welpen verbringen durften. In etwa einer Woche werden die Kleinen bereits von ihren neuen Besitzern abgeholt werden. Wir können nun nur mehr versuchen, möglichst viele positive Eindrücke an die Welpen weiterzugeben. So werden gelegentlich kleine Autofahrten und gemeinsame Spaziergänge unternommen.
 |
 |
| Mia-Cara wird uns in etwa einer Woche Richtung Deutschland verlassen |
Spielzeug kann es gar nicht genug geben, alles ständig im Einsatz |
 |
 |
| Beute und Spielzeug einsammeln - das macht Maruk liebend gerne |
In den Ruhephasen ziehen sich die Welpen in den Schatten zurück |
 |
 |
| Mayeli beginnt schön langsam die Ohren aufzustellen |
Miss Feya und Merci Bianca - da fliegen schon ab und zu die Funken |
 |
 |
| Die Welpen zeigen an allem großes Interesse, wie hier Mia-Cara |
Dazwischen einmal eine Kontrollrunde - Manja und Maruk |
 |
 |
| Merci Bianca beim Spiel mit den Bällen, immer eine Freude zuzusehen |
Jeder Besuch, wie hier Maria und Anna, ist immer herzlich willkommen |
Wir möchten uns bei allen bedanken, die uns und unseren Nachwuchs besucht haben. So hatten die Welpen die Möglichkeit, möglichst viele verschiedene Menschentypen kennen zu lernen. Freunde, Nachbarn, Arbeitskollegen, Freunde aus der Hundeschule und Hundebesitzer unserer Hunde waren hier.
Das hat den Kleinen in ihrer Entwicklung sehr viel gebracht.
 |
 |
| Anna würde Maruk am liebsten mitnehmen |
Erster Ansturm: Auf alle Utensilien aufpassen! |
 |
 |
| Wichtig: Dazwischen wurde die Siesta genossen |
Ideale Spielpartner sind natürlich Kinder |
16.05.2012: Unsere M-Welpen in der achten Lebenswoche
In der letzten gemeinsamen Woche warten auf die Welpen noch einige wichtige Termine. Der Tierarzt kommt, um die Kleinen zu impfen und zu chippen. Die Wurfkontrollorin vom Rasseverein besucht uns, um die Wurfabnahme und Wurfbeurteilung durchzuführen. Und zu guter letzt werden dann die neuen Besitzer ihre neuen Familienmitglieder abholen.
 |
 |
| Der Welpenauslauf genügt den Welpen schon lange nicht mehr |
Deshalb werden die umliegenden Äcker und Wiesen erkundet |
 |
 |
| Auch die "Damenrunde" stattet uns noch einen netten Besuch ab |
Die Kinder gehen mit den Welpen sehr liebevoll und geschickt um |
 |
 |
| Der Tunnel ist begehrt und immer stark frequentiert und strapaziert |
Kuschelpärchen Manja und Mayeli macht ein gemeinsames Schläfchen |
 |
 |
| Gemeinsamer Ausflug in der Nachbarschaft |
Eine klare Liebesbezeugung an Mayo...... |
 |
 |
| Die Kinder haben meist ein gutes Händchen |
Christa ist von den Kleinen hin und weg |
 |
 |
| Doris kommt das alles noch irgendwie bekannt vor - denn vor etwa einem Jahr....... |
Wurfkontrollor Claudia Burger ist zufrieden und hat nur Positives vermerkt |
Unsere M-Welpen in der 8. Lebenswoche
Magic Aragon |
Manja |
 |
 |
Merci Bianca |
Mayeli |
 |
 |
Alle M-Welpen haben wunderbare Plätze erhalten
Kerstin und Edith aus Trofaiach /Stmk. haben sich mit Maruk einen sehr liebenswerten Rüden ins Haus geholt |
 |
Vera aus Wien freut sich über ihren neuen Familienzuwachs Manja |
 |
Sylvia und Petra aus München haben ihre Mia-Cara bereits fest ins Herz geschlossen |
 |
Mayeli heißt auf indianisch "Ich liebe Dich" - sie wohnt nun bei Jacqueline und Christian in Stattegg bei Graz |
 |
Ernst und Irmi aus Bad Fischau/NÖ haben mit Magic Aragon einen Partner für ihren Rüden Lanouk gefunden |
 |
Miss Feya ist mit Michelle und Alex nach Stockerau in Niederösterreich gezogen |
 |
Merci Bianca hat bei Alexandra, Hubert und Lena ein wunderbares Zuhause in Landskron in Kärnten erhalten |
 |
Liebe Welpenbesitzer!
Nun habt ihr Eure kleinen Schätze alle zu Hause und ihr könnt sicher sein, dass ihr für viele Jahre einen tollen Partner in Eurer Familie aufgenommen habt. Das erste Jahr wird sicherlich nicht leicht werden, da ihr dem Welpen ja vieles lernen und beibringen müsst. Aber wenn ihr das mit Konsequenz macht, wird sich das bald lohnen und ihr habt einen Gefährten, der Euch nicht enttäuschen wird.
In diesem Sinne wünschen wir Euch allen alles erdenklich Gute und viel Freude mit Euren Babys.
Ingrid und Manfred mit dem "Stainzer Schilcherland"